Anti-TPOR Rabbit Monoclonal Antibody
- SPECIFICATION
- CITATIONS
- PROTOCOLS
- BACKGROUND

Application
| WB |
|---|---|
| Primary Accession | P40238 |
| Host | Rabbit |
| Isotype | IgG |
| Reactivity | Rat, Human, Mouse |
| Clonality | Monoclonal |
| Format | Liquid |
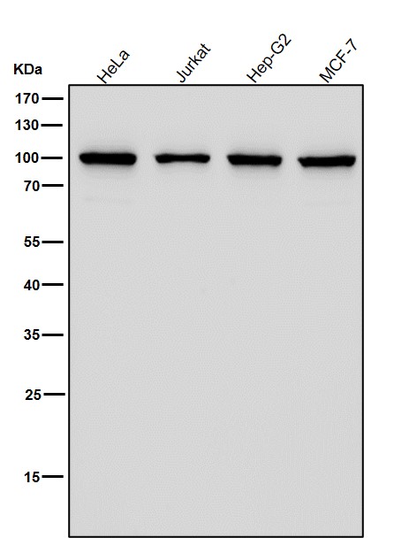
| Description | Anti-TPOR Rabbit Monoclonal Antibody . Tested in WB application. This antibody reacts with Human, Mouse, Rat. |
| Gene ID | 4352 |
|---|---|
| Other Names | Thrombopoietin receptor, TPO-R, Myeloproliferative leukemia protein, Proto-oncogene c-Mpl, CD110, MPL, TPOR |
| Calculated MW | 71245 Da |
| Application Details | WB 1:500-1:2000 |
| Contents | Rabbit IgG in phosphate buffered saline, pH 7.4, 150mM NaCl, 0.02% sodium azide and 50% glycerol, 0.4-0.5mg/ml BSA. |
| Clone Names | Clone: 18M14 |
| Immunogen | A synthesized peptide derived from human TPOR |
| Purification | Affinity-chromatography |
| Storage | Store at -20°C for one year. For short term storage and frequent use, store at 4°C for up to one month. Avoid repeated freeze-thaw cycles. |
| Name | MPL |
|---|---|
| Synonyms | TPOR |
| Function | Receptor for thrombopoietin that regulates hematopoietic stem cell renewal, megakaryocyte differentiation, and platelet formation. Upon activation by THPO, induces rapid tyrosine phosphorylation and activation of JAK2, providing docking sites for many signaling proteins such as STAT5, SHIP/INPP5D, GRB2, SOS1 and PI3K (PubMed:15899890, PubMed:37633268). In turn, These signaling cascades lead to the proliferation, survival, and differentiation of megakaryocytes, ultimately leading to increased platelet production. |
| Cellular Location | Cell membrane; Single-pass type I membrane protein. Golgi apparatus Cell surface |
| Tissue Location | Expressed at a low level in a large number of cells of hematopoietic origin. Isoform 1 and isoform 2 are always found to be coexpressed |

Thousands of laboratories across the world have published research that depended on the performance of antibodies from Abcepta to advance their research. Check out links to articles that cite our products in major peer-reviewed journals, organized by research category.
info@abcepta.com, and receive a free "I Love Antibodies" mug.
Provided below are standard protocols that you may find useful for product applications.
If you have used an Abcepta product and would like to share how it has performed, please click on the "Submit Review" button and provide the requested information. Our staff will examine and post your review and contact you if needed.
If you have any additional inquiries please email technical services at tech@abcepta.com.





Foundational characteristics of cancer include proliferation, angiogenesis, migration, evasion of apoptosis, and cellular immortality. Find key markers for these cellular processes and antibodies to detect them.
The SUMOplot™ Analysis Program predicts and scores sumoylation sites in your protein. SUMOylation is a post-translational modification involved in various cellular processes, such as nuclear-cytosolic transport, transcriptional regulation, apoptosis, protein stability, response to stress, and progression through the cell cycle.
The Autophagy Receptor Motif Plotter predicts and scores autophagy receptor binding sites in your protein. Identifying proteins connected to this pathway is critical to understanding the role of autophagy in physiological as well as pathological processes such as development, differentiation, neurodegenerative diseases, stress, infection, and cancer.





