Complement 4d (C4d) (Acute Humoral Rejection Marker) Antibody - With BSA and Azide
Mouse Monoclonal Antibody [Clone SPM545 ]
- SPECIFICATION
- CITATIONS
- PROTOCOLS
- BACKGROUND

Application
| IHC-P, IF, E |
|---|---|
| Primary Accession | P0C0L4 |
| Other Accession | 720, 721, 534847, 720022, P0C0L5 |
| Reactivity | Human |
| Host | Mouse |
| Clonality | Monoclonal |
| Isotype | Mouse / IgG1, kappa |
| Clone Names | SPM545 |
| Calculated MW | 192kDa (predicted) |
| Gene ID | 720;721 |
|---|---|
| Other Names | Complement C4-A, Acidic complement C4, C3 and PZP-like alpha-2-macroglobulin domain-containing protein 2, Complement C4 beta chain, Complement C4-A alpha chain, C4a anaphylatoxin, C4b-A, C4d-A, Complement C4 gamma chain, C4A, CO4, CPAMD2 |
| Application Note | IHC-P~~N/A IF~~1:50~200 E~~N/A |
| Format | 200ug/ml of Ab purified from Bioreactor Concentrate by Protein A/G. Prepared in 10mM PBS with 0.05% BSA & 0.05% azide. Also available WITHOUT BSA & azide at 1.0mg/ml. |
| Storage | Store at 2 to 8°C.Antibody is stable for 24 months. |
| Precautions | Complement 4d (C4d) (Acute Humoral Rejection Marker) Antibody - With BSA and Azide is for research use only and not for use in diagnostic or therapeutic procedures. |
| Name | C4A {ECO:0000303|PubMed:6546707, ECO:0000312|HGNC:HGNC:1323} |
|---|---|
| Function | Precursor of non-enzymatic components of the classical, lectin and GZMK complement pathways, which consist in a cascade of proteins that leads to phagocytosis and breakdown of pathogens and signaling that strengthens the adaptive immune system. |
| Cellular Location | Secreted. Synapse Cell projection, axon. Cell projection, dendrite [Complement C4b-A]: Secreted. Cell surface. Note=Covalently associated with the surface of pathogens: the internal thioester bond reacts with carbohydrate antigens on the target surface to form amide or ester bonds. |
| Tissue Location | Complement component C4 is expressed at highest levels in the liver, at moderate levels in the adrenal cortex, adrenal medulla, thyroid gland, and the kidney, and at lowest levels in the heart, ovary, small intestine, thymus, pancreas and spleen (PubMed:11367523). The extra-hepatic sites of expression may be important for the local protection and inflammatory response (PubMed:11367523). |

Thousands of laboratories across the world have published research that depended on the performance of antibodies from Abcepta to advance their research. Check out links to articles that cite our products in major peer-reviewed journals, organized by research category.
info@abcepta.com, and receive a free "I Love Antibodies" mug.
Provided below are standard protocols that you may find useful for product applications.
Background
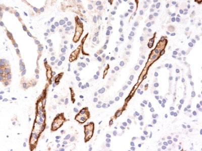
This MAb is specific to Complement 4d (C4d) and it reacts with the secreted as well as cell-bound C4d.ĀC4d is a degradation product of the activated complement factor C4b. Complement 4b is typically activated by binding of Abs to specific target molecules. Following activation and degradation of the C4 molecule, thio-ester groups are exposed, which allow transient, covalent binding of the degradation product Complement 4d to endothelial cell surfaces and extracellular matrix components of vascular basement membranes near the sites of C4 activation. The presence of C4d in peritubular capillaries is a key indicator for acute humoral (i.e. antibody-mediated) rejection of kidney, heart, pancreas and lung allografts. As an established marker of antibody-mediated acute renal allograft rejection and its proclivity for endothelium, this component can be detected in peritubular capillaries in chronic renal allograft rejection as well as hyperacute rejection, acute vascular rejection, acute cellular rejection, and borderline rejection. It has been shown to be a significant predictor of transplant kidney graft survival. Anti-C4d, combined with anti-C3d, can be utilized as a tool for diagnosis of allograft rejection that may warrant a prompt and aggressive anti-rejection treatment.
References
Collins AB et. al. J Am Soc Nephrol. 1999;10(10):2208-14. | Racusen LC et. al. Am J Transplant. 2003;3(6):708-14. | Sacks SH et. al. Curr Opin Nephrol Hypertens. 2002;11(6):627-8
If you have used an Abcepta product and would like to share how it has performed, please click on the "Submit Review" button and provide the requested information. Our staff will examine and post your review and contact you if needed.
If you have any additional inquiries please email technical services at tech@abcepta.com.





Foundational characteristics of cancer include proliferation, angiogenesis, migration, evasion of apoptosis, and cellular immortality. Find key markers for these cellular processes and antibodies to detect them.
The SUMOplot™ Analysis Program predicts and scores sumoylation sites in your protein. SUMOylation is a post-translational modification involved in various cellular processes, such as nuclear-cytosolic transport, transcriptional regulation, apoptosis, protein stability, response to stress, and progression through the cell cycle.
The Autophagy Receptor Motif Plotter predicts and scores autophagy receptor binding sites in your protein. Identifying proteins connected to this pathway is critical to understanding the role of autophagy in physiological as well as pathological processes such as development, differentiation, neurodegenerative diseases, stress, infection, and cancer.


