IGF1R-Beta Antibody
Purified Mouse Monoclonal Antibody
- SPECIFICATION
- CITATIONS
- PROTOCOLS
- BACKGROUND
Application ![]()
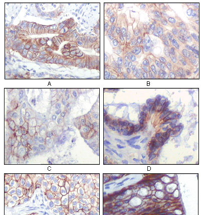
| WB, IHC, E |
---|---|
Primary Accession | P08069 |
Reactivity | Human |
Host | Mouse |
Clonality | Monoclonal |
Clone Names | 3C8B1 |
Isotype | IgG2b |
Calculated MW | 96kDa |
Description | IGF1R (insulin-like growth factor 1 receptor), a transmembrane receptor tyrosine kinase, is widely expressed in many cell types within fetal and postnatal tissues, and in many cell lines. Upon binding to its ligands, IGF-I and IGF-II, receptor autophosphorylation occurs. The triple tyrosine cluster within the kinase domain (Tyr1131, Tyr1135 and Tyr1136) is the earliest major site of autophosphorylation. Phosphorylation of these three tyrosine residues is necessary for kinase activation.Insulin receptors (IRs) share significant similarity with IGF1 receptors in both structure and function,including an equivalent triple tyrosine cluster within the activation loop of the kinase domain (Tyr1146, Tyr1150 and Tyr1151).Tyrosine autophosphorylation of insulin receptor is one of the earliest cellular responses to insulin stimulation. Autophosphorylation begins with phosphorylation of Tyr1146 and either Tyr1150 or Tyr1151. Full kinase activation requires the triple tyrosine phosphorylation. |
Immunogen | Purified recombinant fragment of IGF1R-Beta expressed in E. Coli. |
Formulation | Ascitic fluid containing 0.03% sodium azide. |
Gene ID | 3480 |
---|---|
Other Names | Insulin-like growth factor 1 receptor, 2.7.10.1, Insulin-like growth factor I receptor, IGF-I receptor, CD221, Insulin-like growth factor 1 receptor alpha chain, Insulin-like growth factor 1 receptor beta chain, IGF1R |
Dilution | WB~~1/500 - 1/2000 IHC~~1/200 - 1/1000 E~~N/A |
Storage | Maintain refrigerated at 2-8°C for up to 6 months. For long term storage store at -20°C in small aliquots to prevent freeze-thaw cycles. |
Precautions | IGF1R-Beta Antibody is for research use only and not for use in diagnostic or therapeutic procedures. |
Name | IGF1R |
---|---|
Function | Receptor tyrosine kinase which mediates actions of insulin- like growth factor 1 (IGF1). Binds IGF1 with high affinity and IGF2 and insulin (INS) with a lower affinity. The activated IGF1R is involved in cell growth and survival control. IGF1R is crucial for tumor transformation and survival of malignant cell. Ligand binding activates the receptor kinase, leading to receptor autophosphorylation, and tyrosines phosphorylation of multiple substrates, that function as signaling adapter proteins including, the insulin-receptor substrates (IRS1/2), Shc and 14-3-3 proteins. Phosphorylation of IRSs proteins lead to the activation of two main signaling pathways: the PI3K-AKT/PKB pathway and the Ras-MAPK pathway. The result of activating the MAPK pathway is increased cellular proliferation, whereas activating the PI3K pathway inhibits apoptosis and stimulates protein synthesis. Phosphorylated IRS1 can activate the 85 kDa regulatory subunit of PI3K (PIK3R1), leading to activation of several downstream substrates, including protein AKT/PKB. AKT phosphorylation, in turn, enhances protein synthesis through mTOR activation and triggers the antiapoptotic effects of IGFIR through phosphorylation and inactivation of BAD. In parallel to PI3K-driven signaling, recruitment of Grb2/SOS by phosphorylated IRS1 or Shc leads to recruitment of Ras and activation of the ras-MAPK pathway. In addition to these two main signaling pathways IGF1R signals also through the Janus kinase/signal transducer and activator of transcription pathway (JAK/STAT). Phosphorylation of JAK proteins can lead to phosphorylation/activation of signal transducers and activators of transcription (STAT) proteins. In particular activation of STAT3, may be essential for the transforming activity of IGF1R. The JAK/STAT pathway activates gene transcription and may be responsible for the transforming activity. JNK kinases can also be activated by the IGF1R. IGF1 exerts inhibiting activities on JNK activation via phosphorylation and inhibition of MAP3K5/ASK1, which is able to directly associate with the IGF1R. |
Cellular Location | Cell membrane; Single-pass type I membrane protein |
Tissue Location | Found as a hybrid receptor with INSR in muscle, heart, kidney, adipose tissue, skeletal muscle, hepatoma, fibroblasts, spleen and placenta (at protein level). Expressed in a variety of tissues. Overexpressed in tumors, including melanomas, cancers of the colon, pancreas prostate and kidney. |

Thousands of laboratories across the world have published research that depended on the performance of antibodies from Abcepta to advance their research. Check out links to articles that cite our products in major peer-reviewed journals, organized by research category.
info@abcepta.com, and receive a free "I Love Antibodies" mug.
Provided below are standard protocols that you may find useful for product applications.
References
1. Adams, T.E. et al. Cell. Mol. Life Sci. 2000 57, 1050-1093. 2. Baserga, R. et al. Oncogene 2000 19, 5574-5581. 3. Scheidegger, K.J. et al. J. Biol. Chem. 2000 275, 38921-38928.

If you have used an Abcepta product and would like to share how it has performed, please click on the "Submit Review" button and provide the requested information. Our staff will examine and post your review and contact you if needed.
If you have any additional inquiries please email technical services at tech@abcepta.com.