CYP11B2 Antibody (Center)
Affinity Purified Rabbit Polyclonal Antibody (Pab)
- SPECIFICATION
- CITATIONS
- PROTOCOLS
- BACKGROUND

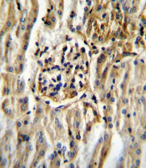
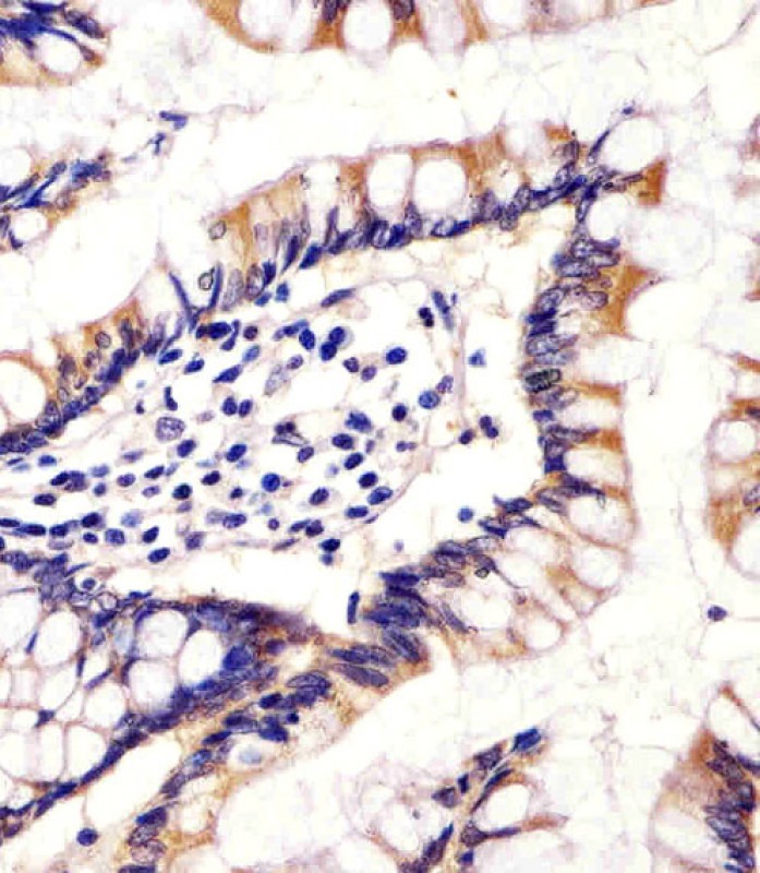
Application
| WB, FC, IHC-P, E |
|---|---|
| Primary Accession | P19099 |
| Other Accession | NP_000489 |
| Reactivity | Human, Mouse |
| Host | Rabbit |
| Clonality | Polyclonal |
| Isotype | Rabbit IgG |
| Calculated MW | 57560 Da |
| Antigen Region | 120-147 aa |
| Gene ID | 1585 |
|---|---|
| Other Names | Cytochrome P450 11B2, mitochondrial, Aldosterone synthase, ALDOS, Aldosterone-synthesizing enzyme, CYPXIB2, Cytochrome P-450Aldo, Cytochrome P-450C18, Steroid 18-hydroxylase, CYP11B2 |
| Target/Specificity | This CYP11B2 antibody is generated from rabbits immunized with a KLH conjugated synthetic peptide between 120-147 amino acids from the Central region of human CYP11B2. |
| Dilution | WB~~1:2000 FC~~1:10~50 IHC-P~~1:25 E~~Use at an assay dependent concentration. |
| Format | Purified polyclonal antibody supplied in PBS with 0.09% (W/V) sodium azide. This antibody is purified through a protein A column, followed by peptide affinity purification. |
| Storage | Maintain refrigerated at 2-8°C for up to 2 weeks. For long term storage store at -20°C in small aliquots to prevent freeze-thaw cycles. |
| Precautions | CYP11B2 Antibody (Center) is for research use only and not for use in diagnostic or therapeutic procedures. |
| Name | CYP11B2 {ECO:0000303|PubMed:1346492, ECO:0000312|HGNC:HGNC:2592} |
|---|---|
| Function | A cytochrome P450 monooxygenase that catalyzes the biosynthesis of aldosterone, the main mineralocorticoid in the human body responsible for salt and water homeostasis, thus involved in blood pressure regulation, arterial hypertension, and the development of heart failure (PubMed:11856349, PubMed:12530636, PubMed:1518866, PubMed:15356073, PubMed:1594605, PubMed:1775135, PubMed:22446688, PubMed:23322723, PubMed:9814482, PubMed:9814506). Catalyzes three sequential oxidative reactions of 11-deoxycorticosterone (21- hydroxyprogesterone), namely 11-beta hydroxylation, followed by two successive oxidations at C18 yielding 18-hydroxy and then 18-oxo intermediates (that would not leave the enzyme active site during the consecutive hydroxylation reactions), ending with the formation of aldosterone (PubMed:11856349, PubMed:12530636, PubMed:1518866, PubMed:1594605, PubMed:1775135, PubMed:22446688, PubMed:23322723, PubMed:9814506). Can also produce 18-hydroxycortisol and 18- oxocortisol, derived from successive oxidations of cortisol at C18, normally found at very low levels, but significantly increased in primary aldosteronism, the most common form of secondary hypertension (PubMed:15356073, PubMed:9814482). Mechanistically, uses molecular oxygen inserting one oxygen atom into a substrate and reducing the second into a water molecule. Two electrons are provided by NADPH via a two-protein mitochondrial transfer system comprising flavoprotein FDXR (adrenodoxin/ferredoxin reductase) and nonheme iron-sulfur protein FDX1 or FDX2 (adrenodoxin/ferredoxin) (PubMed:11856349, PubMed:1594605, PubMed:23322723, PubMed:9814506). Could also be involved in the androgen metabolic pathway (Probable). |
| Cellular Location | Mitochondrion inner membrane {ECO:0000250|UniProtKB:P14137}; Peripheral membrane protein {ECO:0000250|UniProtKB:P14137} |
| Tissue Location | Expressed sporadically in the zona glomerulosa (zG) of the adrenal cortex (conventional zonation), as well as in aldosterone-producing cell clusters (APCCs) composed of morphological zG cells in contact with the capsule (variegated zonation) |

Thousands of laboratories across the world have published research that depended on the performance of antibodies from Abcepta to advance their research. Check out links to articles that cite our products in major peer-reviewed journals, organized by research category.
info@abcepta.com, and receive a free "I Love Antibodies" mug.
Provided below are standard protocols that you may find useful for product applications.
Background
This gene encodes a member of the cytochrome P450 superfamily of enzymes. The cytochrome P450 proteins are monooxygenases which catalyze many reactions involved in drug metabolism and synthesis of cholesterol, steroids and other lipids. This protein localizes to the mitochondrial inner membrane. The enzyme has steroid 18-hydroxylase activity to synthesize aldosterone and 18-oxocortisol as well as steroid 11 beta-hydroxylase activity. Mutations in this gene cause corticosterone methyl oxidase deficiency.
References
Wang, B., et al. Urology 76 (4), 1018 (2010) : Bailey, S.D., et al. Diabetes Care 33(10):2250-2253(2010) Huriletemuer, H., et al. Neurosciences (Riyadh) 15(3):184-189(2010) Cheng, X., et al. Clin. Exp. Hypertens. 32(5):301-307(2010) Nelson, D.R., et al. Pharmacogenetics 14(1):1-18(2004)
If you have used an Abcepta product and would like to share how it has performed, please click on the "Submit Review" button and provide the requested information. Our staff will examine and post your review and contact you if needed.
If you have any additional inquiries please email technical services at tech@abcepta.com.





Foundational characteristics of cancer include proliferation, angiogenesis, migration, evasion of apoptosis, and cellular immortality. Find key markers for these cellular processes and antibodies to detect them.
The SUMOplot™ Analysis Program predicts and scores sumoylation sites in your protein. SUMOylation is a post-translational modification involved in various cellular processes, such as nuclear-cytosolic transport, transcriptional regulation, apoptosis, protein stability, response to stress, and progression through the cell cycle.
The Autophagy Receptor Motif Plotter predicts and scores autophagy receptor binding sites in your protein. Identifying proteins connected to this pathway is critical to understanding the role of autophagy in physiological as well as pathological processes such as development, differentiation, neurodegenerative diseases, stress, infection, and cancer.





