CD163L1 Antibody (C-term)
Affinity Purified Rabbit Polyclonal Antibody (Pab)
- SPECIFICATION
- CITATIONS
- PROTOCOLS
- BACKGROUND

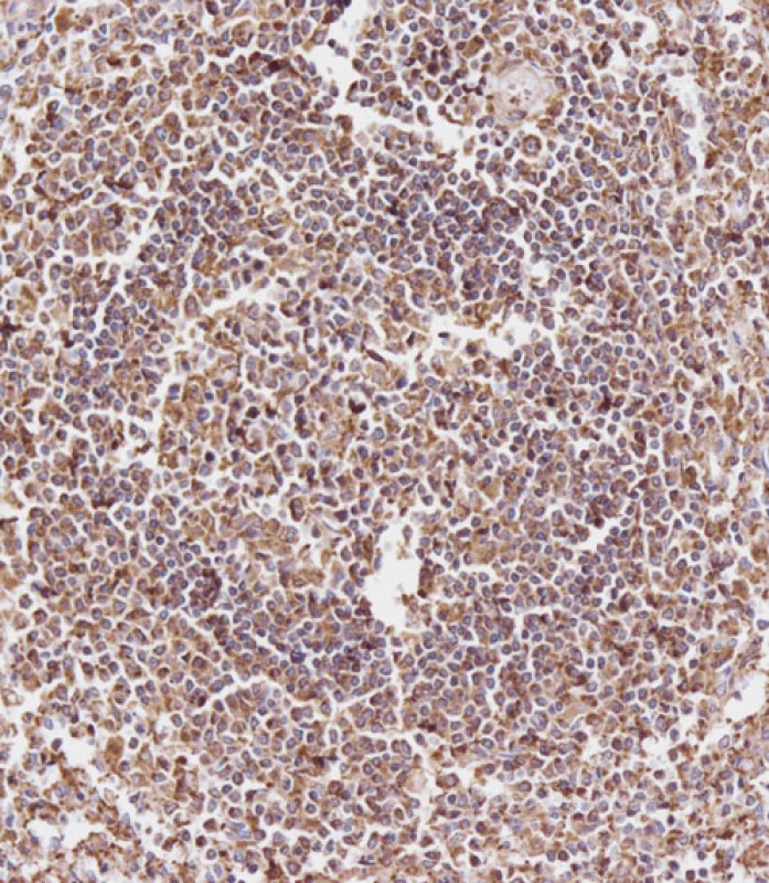
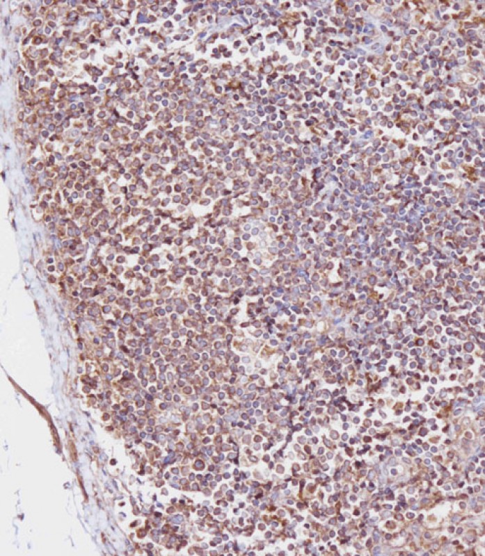
Application
| IHC-P, WB, E |
|---|---|
| Primary Accession | Q9NR16 |
| Other Accession | NP_777601.2 |
| Reactivity | Human |
| Host | Rabbit |
| Clonality | Polyclonal |
| Isotype | Rabbit IgG |
| Calculated MW | 159239 Da |
| Antigen Region | 1401-1430 aa |
| Gene ID | 283316 |
|---|---|
| Other Names | Scavenger receptor cysteine-rich type 1 protein M160, CD163 antigen-like 1, CD163b, CD163L1, CD163B, M160 |
| Target/Specificity | This CD163L1 antibody is generated from rabbits immunized with a KLH conjugated synthetic peptide between 1401-1430 amino acids from the C-terminal region of human CD163L1. |
| Dilution | IHC-P~~1:100 WB~~1:1000 E~~Use at an assay dependent concentration. |
| Format | Purified polyclonal antibody supplied in PBS with 0.09% (W/V) sodium azide. This antibody is purified through a protein A column, followed by peptide affinity purification. |
| Storage | Maintain refrigerated at 2-8°C for up to 2 weeks. For long term storage store at -20°C in small aliquots to prevent freeze-thaw cycles. |
| Precautions | CD163L1 Antibody (C-term) is for research use only and not for use in diagnostic or therapeutic procedures. |
| Name | CD163L1 |
|---|---|
| Synonyms | CD163B, M160 |
| Cellular Location | [Isoform 1]: Cell membrane; Single- pass type I membrane protein [Isoform 3]: Secreted. |
| Tissue Location | Isoform 1 is highly expressed in the spleen, lymph nodes, thymus, and fetal liver and weakly expressed in bone marrow and no expression was found in peripheral blood leukocytes. Isoform 1 expression is restricted to the monocyte and macrophage cell lines Isoform 2 is only expressed in spleen. |

Thousands of laboratories across the world have published research that depended on the performance of antibodies from Abcepta to advance their research. Check out links to articles that cite our products in major peer-reviewed journals, organized by research category.
info@abcepta.com, and receive a free "I Love Antibodies" mug.
Provided below are standard protocols that you may find useful for product applications.
Background
This gene encodes a member of the scavenger receptor cysteine-rich (SRCR) superfamily. Members of this family are secreted or membrane-anchored proteins mainly found in cells associated with the immune system. The SRCR family is defined by a 100-110 amino acid SRCR domain, which may mediate protein-protein interaction and ligand binding. The encoded protein contains twelve SRCR domains, a transmembrane region and a cytoplasmic domain. Alternatively spliced transcript variants encoding different isoforms have been described but their full-length nature has not been determined.
References
Rose, J.E., et al. Mol. Med. 16 (7-8), 247-253 (2010) :
Davila, S., et al. Genes Immun. 11(3):232-238(2010)
Van Gorp, H., et al. J. Virol. 84(6):3101-3105(2010)
Zhang, Z., et al. Protein Sci. 13(10):2819-2824(2004)
Clark, H.F., et al. Genome Res. 13(10):2265-2270(2003)
If you have used an Abcepta product and would like to share how it has performed, please click on the "Submit Review" button and provide the requested information. Our staff will examine and post your review and contact you if needed.
If you have any additional inquiries please email technical services at tech@abcepta.com.





Foundational characteristics of cancer include proliferation, angiogenesis, migration, evasion of apoptosis, and cellular immortality. Find key markers for these cellular processes and antibodies to detect them.
The SUMOplot™ Analysis Program predicts and scores sumoylation sites in your protein. SUMOylation is a post-translational modification involved in various cellular processes, such as nuclear-cytosolic transport, transcriptional regulation, apoptosis, protein stability, response to stress, and progression through the cell cycle.
The Autophagy Receptor Motif Plotter predicts and scores autophagy receptor binding sites in your protein. Identifying proteins connected to this pathway is critical to understanding the role of autophagy in physiological as well as pathological processes such as development, differentiation, neurodegenerative diseases, stress, infection, and cancer.




