PHLDA2 Antibody (C-term)
Affinity Purified Rabbit Polyclonal Antibody (Pab)
- SPECIFICATION
- CITATIONS
- PROTOCOLS
- BACKGROUND

Application
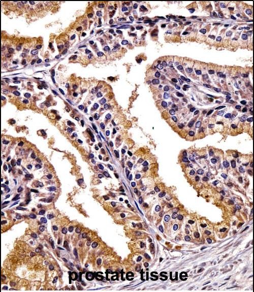
| WB, IHC-P, E |
|---|---|
| Primary Accession | Q53GA4 |
| Other Accession | NP_003302.1 |
| Reactivity | Human |
| Host | Rabbit |
| Clonality | Polyclonal |
| Isotype | Rabbit IgG |
| Calculated MW | 17092 Da |
| Antigen Region | 90-119 aa |
| Gene ID | 7262 |
|---|---|
| Other Names | Pleckstrin homology-like domain family A member 2, Beckwith-Wiedemann syndrome chromosomal region 1 candidate gene C protein, Imprinted in placenta and liver protein, Tumor-suppressing STF cDNA 3 protein, Tumor-suppressing subchromosomal transferable fragment candidate gene 3 protein, p17-Beckwith-Wiedemann region 1 C, p17-BWR1C, PHLDA2, BWR1C, HLDA2, IPL, TSSC3 |
| Target/Specificity | This PHLDA2 antibody is generated from rabbits immunized with a KLH conjugated synthetic peptide between 90-119 amino acids from the C-terminal region of human PHLDA2. |
| Dilution | WB~~1:1000 IHC-P~~1:10~50 E~~Use at an assay dependent concentration. |
| Format | Purified polyclonal antibody supplied in PBS with 0.09% (W/V) sodium azide. This antibody is purified through a protein A column, followed by peptide affinity purification. |
| Storage | Maintain refrigerated at 2-8°C for up to 2 weeks. For long term storage store at -20°C in small aliquots to prevent freeze-thaw cycles. |
| Precautions | PHLDA2 Antibody (C-term) is for research use only and not for use in diagnostic or therapeutic procedures. |
| Name | PHLDA2 |
|---|---|
| Synonyms | BWR1C, HLDA2, IPL, TSSC3 |
| Function | Plays a role in regulating placenta growth. May act via its PH domain that competes with other PH domain-containing proteins, thereby preventing their binding to membrane lipids (By similarity). |
| Cellular Location | Cytoplasm. Membrane; Peripheral membrane protein |
| Tissue Location | Expressed in placenta and adult prostate gland. In placenta, it is present in all cells of the villous cytotrophoblast The protein is absent in cells from hydatidiform moles. Hydatidiform mole is a gestation characterized by abnormal development of both fetus and trophoblast. The majority of hydatidiform moles are associated with an excess of paternal to maternal genomes and are likely to result from the abnormal expression of imprinted genes (at protein level) Expressed at low levels in adult liver and lung, and fetal liver Expressed in adult brain and neuroblastoma, medullablastoma and glioblastoma cell lines. |

Thousands of laboratories across the world have published research that depended on the performance of antibodies from Abcepta to advance their research. Check out links to articles that cite our products in major peer-reviewed journals, organized by research category.
info@abcepta.com, and receive a free "I Love Antibodies" mug.
Provided below are standard protocols that you may find useful for product applications.
Background
This gene is located in a cluster of imprinted genes on chromosome 11p15.5, which is considered to be an important tumor suppressor gene region. Alterations in this region may be associated with the Beckwith-Wiedemann syndrome, Wilms tumor, rhabdomyosarcoma, adrenocortical carcinoma, and lung, ovarian, and breast cancer. This gene has been shown to be imprinted, with preferential expression from the maternal allele in placenta and liver.
References
O'Seaghdha, C.M., et al. Hum. Mol. Genet. 19(21):4296-4303(2010)
Edenberg, H.J., et al. Alcohol. Clin. Exp. Res. 34(5):840-852(2010)
Sugiyama, N., et al. Mol. Cell Proteomics 6(6):1103-1109(2007)
Tang, K.F., et al. Biochim. Biophys. Acta 1770(5):820-825(2007)
Bertheau, P., et al. PLoS Med. 4 (3), E90 (2007) :
If you have used an Abcepta product and would like to share how it has performed, please click on the "Submit Review" button and provide the requested information. Our staff will examine and post your review and contact you if needed.
If you have any additional inquiries please email technical services at tech@abcepta.com.





Foundational characteristics of cancer include proliferation, angiogenesis, migration, evasion of apoptosis, and cellular immortality. Find key markers for these cellular processes and antibodies to detect them.
The SUMOplot™ Analysis Program predicts and scores sumoylation sites in your protein. SUMOylation is a post-translational modification involved in various cellular processes, such as nuclear-cytosolic transport, transcriptional regulation, apoptosis, protein stability, response to stress, and progression through the cell cycle.
The Autophagy Receptor Motif Plotter predicts and scores autophagy receptor binding sites in your protein. Identifying proteins connected to this pathway is critical to understanding the role of autophagy in physiological as well as pathological processes such as development, differentiation, neurodegenerative diseases, stress, infection, and cancer.



