Mouse Nlrp6 Antibody (Center)
Affinity Purified Rabbit Polyclonal Antibody (Pab)
- SPECIFICATION
- CITATIONS
- PROTOCOLS
- BACKGROUND

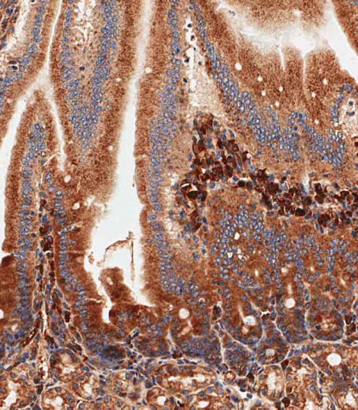
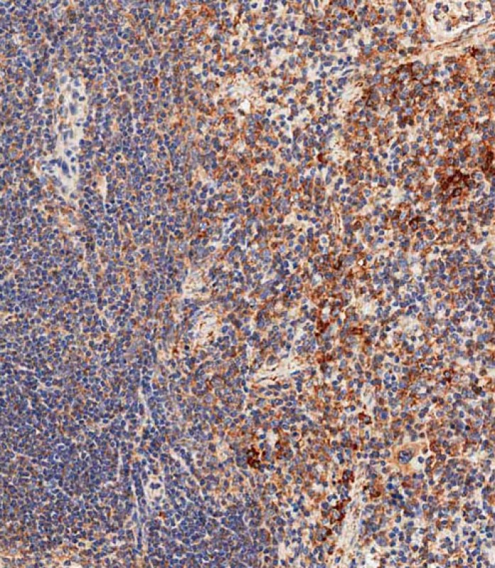
Application
| IHC-P-Leica, WB, E |
|---|---|
| Primary Accession | Q91WS2 |
| Other Accession | Q63035 |
| Reactivity | Mouse |
| Predicted | Rat |
| Host | Rabbit |
| Clonality | Polyclonal |
| Isotype | Rabbit IgG |
| Calculated MW | 97402 Da |
| Antigen Region | 343-372 aa |
| Gene ID | 101613 |
|---|---|
| Other Names | NACHT, LRR and PYD domains-containing protein 6, Angiotensin II/vasopressin receptor, PYRIN-containing APAF1-like protein 5-like, Nlrp6, Nalp6, Pypaf5 |
| Target/Specificity | This Mouse Nlrp6 antibody is generated from rabbits immunized with a KLH conjugated synthetic peptide between 343-372 amino acids from the Central region of mouse Nlrp6. |
| Dilution | IHC-P-Leica~~1:500 WB~~1:500 E~~Use at an assay dependent concentration. |
| Format | Purified polyclonal antibody supplied in PBS with 0.09% (W/V) sodium azide. This antibody is purified through a protein A column, followed by peptide affinity purification. |
| Storage | Maintain refrigerated at 2-8°C for up to 2 weeks. For long term storage store at -20°C in small aliquots to prevent freeze-thaw cycles. |
| Precautions | Mouse Nlrp6 Antibody (Center) is for research use only and not for use in diagnostic or therapeutic procedures. |
| Name | Nlrp6 {ECO:0000303|PubMed:21593405, ECO:0000312|MGI:MGI:2141990} |
|---|---|
| Function | Acts as the sensor component of the NLRP6 inflammasome, which mediates inflammasome activation in response to various pathogen- associated signals, leading to maturation and secretion of IL1B and IL18 (PubMed:21593405, PubMed:30392956, PubMed:32424362, PubMed:34678144). Inflammasomes are supramolecular complexes that assemble in the cytosol in response to pathogens and other damage- associated signals and play critical roles in innate immunity and inflammation (PubMed:30392956). Acts as a recognition receptor (PRR): recognizes and binds specific pathogens and other damage-associated signals, such as lipoteichoic acid (LTA), a cell-wall component of Gram-positive bacteria, or double stranded RNA (dsRNA) (PubMed:26494172, PubMed:30392956, PubMed:34678144). May also recognize and bind lipopolysaccharide (LPS), a major component of the outer membrane of Gram-negative bacteria; however, LPS is probably not a major activator of the NLRP6 inflammasome (PubMed:34678144). Following LTA- or dsRNA-binding, NLRP6 undergoes liquid-liquid phase separation (LLPS), enhancing multivalent interactions, an essential step for the formation of the NLRP6 inflammasome polymeric complex (PubMed:34678144). The NLRP6 inflammasome acts by promoting recruitment of effector pro-inflammatory caspases (CASP1 and/or CASP4) that catalyze maturation and secretion of IL1B and IL18 in the extracellular milieu (PubMed:30392956). The NLRP6 inflammasome plays a central role in the maintenance of epithelial integrity and host defense against microbial infections in the intestine (PubMed:21565393, PubMed:22763455, PubMed:23696660, PubMed:26638072, PubMed:28445725, PubMed:30392956). Required to restrict infection against Gram-positive bacteria by recognizing lipoteichoic acid (LTA), leading to recruitment of CASP4 and CASP1, and subsequent maturation and secretion of IL1B and IL18 (PubMed:30392956). Involved in intestinal antiviral innate immunity together with DHX15: recognizes and binds viral dsRNA to restrict infection by enteric viruses through the interferon pathway and GSDMD-dependent release of IL18 (PubMed:26494172, PubMed:34678144). Required to prevent infection by the apicomplexan parasite C.tyzzeri in enterocytes by promoting GSDMD-dependent release of IL18 (PubMed:33372132). The NLRP6 inflammasome may also regulate the gut microbiota composition by acting as a sensor of microbiota-associated metabolites to form a PYCARD/ASC-dependent inflammasome for downstream IL18 release and secretion of antimicrobial peptides (PubMed:21565393, PubMed:22763455, PubMed:26638072, PubMed:33617596). Its role in the regulation of the gut microbiota composition is however subject to discussion (PubMed:28801232, PubMed:29281815, PubMed:29281837). Essential for gut mucosal self-renewal and proliferation (PubMed:21543645, PubMed:21565393, PubMed:21593405). Regulate mucus secretion in an inflammasome- and autophagy-dependent manner to prevent invasion by enteric bacteria (PubMed:24581500, PubMed:27339979). During systemic bacterial infections, the NLRP6 inflammasome negatively regulates neutrophil recruitment and neutrophil extracellular traps (NETs) formation (PubMed:22763455, PubMed:30248149, PubMed:33230225, PubMed:33918100). May promote peripheral nerve recovery following injury via an inflammasome-independent mechanism (PubMed:26253422). |
| Cellular Location | Cytoplasm {ECO:0000250|UniProtKB:Q63035}. Inflammasome [Isoform 2]: Cytoplasm {ECO:0000250|UniProtKB:Q63035}. Cell membrane {ECO:0000250|UniProtKB:Q63035}. Note=Predominantly expressed in the cell membrane. {ECO:0000250|UniProtKB:Q63035} |
| Tissue Location | Highly expressed in the gastrointestinal tract, predominantly in colonic myofibroblasts and in colonic epithelial and endothelial cells. Within the intestinal mucosa, highly expressed by goblet cells. Also expressed in hepatocytes and in immune cells, including CD4(+) and CD8(+) T-cells, dendritic cells, mastocytes and peritoneal macrophages, as well as in lung, kidney, bladder and gonads |

Thousands of laboratories across the world have published research that depended on the performance of antibodies from Abcepta to advance their research. Check out links to articles that cite our products in major peer-reviewed journals, organized by research category.
info@abcepta.com, and receive a free "I Love Antibodies" mug.
Provided below are standard protocols that you may find useful for product applications.
Background
Nlrp6 may mediate activation of CASP1 via ASC and promote activation of NF-kappa-B (By similarity).
If you have used an Abcepta product and would like to share how it has performed, please click on the "Submit Review" button and provide the requested information. Our staff will examine and post your review and contact you if needed.
If you have any additional inquiries please email technical services at tech@abcepta.com.





Foundational characteristics of cancer include proliferation, angiogenesis, migration, evasion of apoptosis, and cellular immortality. Find key markers for these cellular processes and antibodies to detect them.
The SUMOplot™ Analysis Program predicts and scores sumoylation sites in your protein. SUMOylation is a post-translational modification involved in various cellular processes, such as nuclear-cytosolic transport, transcriptional regulation, apoptosis, protein stability, response to stress, and progression through the cell cycle.
The Autophagy Receptor Motif Plotter predicts and scores autophagy receptor binding sites in your protein. Identifying proteins connected to this pathway is critical to understanding the role of autophagy in physiological as well as pathological processes such as development, differentiation, neurodegenerative diseases, stress, infection, and cancer.





