TSC22D3 Antibody (Center)
Affinity Purified Rabbit Polyclonal Antibody (Pab)
- SPECIFICATION
- CITATIONS
- PROTOCOLS
- BACKGROUND

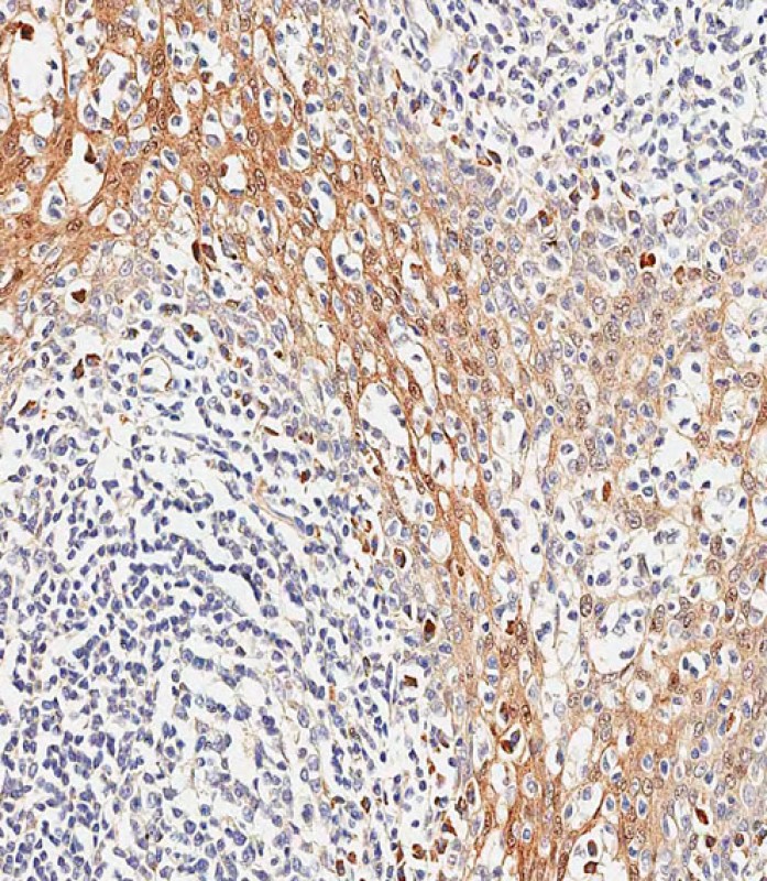
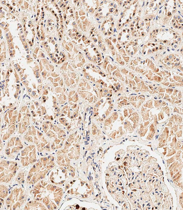
Application
| IHC-P-Leica, WB, E |
|---|---|
| Primary Accession | Q99576 |
| Other Accession | Q9EQZ1, P80220, NP_004080.2, NP_001015881.1 |
| Reactivity | Human, Mouse |
| Predicted | Pig, Rat |
| Host | Rabbit |
| Clonality | Polyclonal |
| Isotype | Rabbit IgG |
| Calculated MW | 14810 Da |
| Antigen Region | 62-91 aa |
| Gene ID | 1831 |
|---|---|
| Other Names | TSC22 domain family protein 3, DSIP-immunoreactive peptide, Protein DIP, hDIP, Delta sleep-inducing peptide immunoreactor, Glucocorticoid-induced leucine zipper protein, GILZ, TSC-22-like protein, TSC-22-related protein, TSC-22R, TSC22D3, DSIPI, GILZ |
| Target/Specificity | This TSC22D3 antibody is generated from rabbits immunized with a KLH conjugated synthetic peptide between 62-91 amino acids from the Central region of human TSC22D3. |
| Dilution | IHC-P-Leica~~1:500 WB~~1:2000 E~~Use at an assay dependent concentration. |
| Format | Purified polyclonal antibody supplied in PBS with 0.09% (W/V) sodium azide. This antibody is purified through a protein A column, followed by peptide affinity purification. |
| Storage | Maintain refrigerated at 2-8°C for up to 2 weeks. For long term storage store at -20°C in small aliquots to prevent freeze-thaw cycles. |
| Precautions | TSC22D3 Antibody (Center) is for research use only and not for use in diagnostic or therapeutic procedures. |
| Name | TSC22D3 (HGNC:3051) |
|---|---|
| Function | Protects T-cells from IL2 deprivation-induced apoptosis through the inhibition of FOXO3A transcriptional activity that leads to the down-regulation of the pro-apoptotic factor BCL2L11 (PubMed:15031210). In macrophages, plays a role in the anti- inflammatory and immunosuppressive effects of glucocorticoids and IL10 (PubMed:12393603). In T-cells, inhibits anti-CD3-induced NFKB1 nuclear translocation and thereby NFKB1 DNA-binding activities (PubMed:11468175). In vitro, suppresses AP-1 transcription factor complex DNA-binding activities (By similarity). |
| Cellular Location | [Isoform 1]: Cytoplasm {ECO:0000250|UniProtKB:Q9Z2S7}. Nucleus {ECO:0000250|UniProtKB:Q9Z2S7} Note=Localization depends on differentiation status of myoblasts (By similarity). In undifferentiated myoblasts; localizes to the cytoplasm, but in differentiating myoblast; localizes to the nucleus (By similarity). {ECO:0000250|UniProtKB:Q9Z2S7} |
| Tissue Location | Ubiquitously expressed, including in the fetal brain and liver (PubMed:26752201). Expressed in brain, lung, spleen and skeletal muscle (PubMed:11313722, PubMed:12393603). Lower levels detected in heart and kidney (PubMed:11313722, PubMed:12393603). Not detected in the pancreas (PubMed:11313722). In non-lymphoid tissues, in the absence of inflammation, the major source of constitutive expression is the macrophage lineage (PubMed:12393603). Also expressed in cells from different hemopoietic cell lineages, including bone marrow cells, CD34+ stem cells, mature B- and T-cells, monocytes and granulocytes (PubMed:11313722). Down-regulated in activated macrophages from inflammatory lesions of delayed-type hypersensitivity (DTH) reactions, such as in tuberculosis and in Crohn disease, whereas in Burkitt lymphoma, persists in macrophages involved in the phagocytosis of apoptotic malignant cells (PubMed:12393603) |

Thousands of laboratories across the world have published research that depended on the performance of antibodies from Abcepta to advance their research. Check out links to articles that cite our products in major peer-reviewed journals, organized by research category.
info@abcepta.com, and receive a free "I Love Antibodies" mug.
Provided below are standard protocols that you may find useful for product applications.
Background
The protein encoded by this gene shares significant sequence identity with the murine TSC-22 and Drosophila shs, both of which are leucine zipper proteins, that function as transcriptional regulators. The expression of this gene is stimulated by glucocorticoids and interleukin 10, and it appears to play a key role in the anti-inflammatory and immunosuppressive effects of this steroid and chemokine. Transcript variants encoding different isoforms have been identified for this gene. [provided by RefSeq].
References
Latre de Late, P., et al. J. Biol. Chem. 285(8):5594-5605(2010)
Lekva, T., et al. J. Clin. Endocrinol. Metab. 95(1):246-255(2010)
Soundararajan, R., et al. Proc. Natl. Acad. Sci. U.S.A. 106(19):7804-7809(2009)
Zhang, X.H., et al. Clin. Exp. Allergy 39(5):647-654(2009)
Redjimi, N., et al. Mol. Cancer 8, 83 (2009) :
If you have used an Abcepta product and would like to share how it has performed, please click on the "Submit Review" button and provide the requested information. Our staff will examine and post your review and contact you if needed.
If you have any additional inquiries please email technical services at tech@abcepta.com.





Foundational characteristics of cancer include proliferation, angiogenesis, migration, evasion of apoptosis, and cellular immortality. Find key markers for these cellular processes and antibodies to detect them.
The SUMOplot™ Analysis Program predicts and scores sumoylation sites in your protein. SUMOylation is a post-translational modification involved in various cellular processes, such as nuclear-cytosolic transport, transcriptional regulation, apoptosis, protein stability, response to stress, and progression through the cell cycle.
The Autophagy Receptor Motif Plotter predicts and scores autophagy receptor binding sites in your protein. Identifying proteins connected to this pathway is critical to understanding the role of autophagy in physiological as well as pathological processes such as development, differentiation, neurodegenerative diseases, stress, infection, and cancer.




