NR0B2 Polyclonal Antibody
Purified Rabbit Polyclonal Antibody (Pab)
- SPECIFICATION
- CITATIONS
- PROTOCOLS
- BACKGROUND

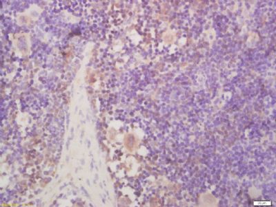
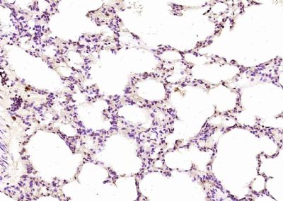
Application
| WB, IHC-P, IHC-F, IF, ICC, E |
|---|---|
| Primary Accession | Q15466 |
| Reactivity | Rat, Dog, Bovine |
| Host | Rabbit |
| Clonality | Polyclonal |
| Calculated MW | 28 KDa |
| Physical State | Liquid |
| Immunogen | KLH conjugated synthetic peptide derived from human NR0B2 |
| Epitope Specificity | 31-130/257 |
| Isotype | IgG |
| Purity | affinity purified by Protein A |
| Buffer | 0.01M TBS (pH7.4) with 1% BSA, 0.02% Proclin300 and 50% Glycerol. |
| SUBCELLULAR LOCATION | Nucleus. Cytoplasm. Note=Colocalizes with NEUROD1 in the nucleus. |
| SIMILARITY | Belongs to the nuclear hormone receptor family. NR0 subfamily. |
| SUBUNIT | Interacts with RARA, RXRA, THRB, NR5A1, NR5A2, NR1I3, PPARA, PPARG and EID1. May also interact with HNF4A (By similarity). Heterodimer; efficient DNA binding requires dimerization with another bHLH protein. Interacts (via N-terminus) with NEUROD1 (via N-terminus an C-terminus). Interacts with ID2. |
| DISEASE | Defects in NR0B2 may be associated with obesity (OBESITY) [MIM:601665]. It is a condition characterized by an increase of body weight beyond the limitation of skeletal and physical requirements, as the result of excessive accumulation of body fat. |
| Important Note | This product as supplied is intended for research use only, not for use in human, therapeutic or diagnostic applications. |
| Background Descriptions | SHP is an orphan nuclear receptor containing the dimerization and ligand-binding domains found in other nuclear receptors, but lacking the conserved DNA binding domain. SHP is specifically expressed in liver and other tissues, including fetal liver and adrenal gland, as well as adult spleen and small intestine. In addition, SHP is highy expressed in the murine macrophage cell line RAW 264.7 but suppressed by oxLDL and 13-HODE, which is a ligand for PPARg. SHP interacts with nuclear receptors, including thyroid receptor, retinoic acid receptors (RAR and RXR) and estrogen receptors (ERa and ERb). SHP functions as a negative regulator of these receptors by at least three mechanisms: inhibition of DNA binding via dimerization, direct antagonism of coactivator function through competition and possibly transrepression via recruitment of putative corepressors. In oxLDL-treated, resting macrophage cells, SHP acts as a transcription coactivator of NFkB, suggesting that SHP is a modulatory component in the regulation of the transcriptional activities of NFkB. Lastly, negative feedback regulation of a hepatic bile acid transporter, NTCP, is controlled by bile acid-activated FXR via induction of SHP to protect the hepatocyte from bile acid-mediated damage in cholestatic conditions. |
| Gene ID | 8431 |
|---|---|
| Other Names | Nuclear receptor subfamily 0 group B member 2, Orphan nuclear receptor SHP, Small heterodimer partner, NR0B2, SHP |
| Target/Specificity | Liver. Low levels of expression were detected in heart and pancreas. |
| Dilution | WB=1:500-2000,IHC-P=1:100-500,IHC-F=1:100-500,ICC=1:100-500,IF=1:100-500,ELISA=1:5000-10000 |
| Storage | Store at -20 ℃ for one year. Avoid repeated freeze/thaw cycles. When reconstituted in sterile pH 7.4 0.01M PBS or diluent of antibody the antibody is stable for at least two weeks at 2-4 ℃. |
| Name | NR0B2 |
|---|---|
| Synonyms | SHP |
| Function | Transcriptional regulator that acts as a negative regulator of receptor-dependent signaling pathways (PubMed:22504882). Specifically inhibits transactivation of the nuclear receptor with which it interacts (PubMed:22504882). Inhibits transcriptional activity of NEUROD1 on E-box-containing promoter by interfering with the coactivation function of the p300/CBP-mediated transcription complex for NEUROD1 (PubMed:14752053). Essential component of the liver circadian clock which via its interaction with NR1D1 and RORG regulates NPAS2-mediated hepatic lipid metabolism (By similarity). Regulates the circadian expression of cytochrome P450 (CYP) enzymes (By similarity). Represses: NR5A2 and HNF4A to down-regulate CYP2C38, NFLI3 to up- regulate CYP2A5, BHLHE41/HNF1A axis to up-regulate CYP1A2, CYP2E1 and CYP3A11, and NR1D1 to up-regulate CYP2B10, CYP4A10 and CYP4A14 (By similarity). |
| Cellular Location | Nucleus. Cytoplasm Note=Colocalizes with NEUROD1 in the nucleus |
| Tissue Location | Liver. Low levels of expression were detected in heart and pancreas. |

Thousands of laboratories across the world have published research that depended on the performance of antibodies from Abcepta to advance their research. Check out links to articles that cite our products in major peer-reviewed journals, organized by research category.
info@abcepta.com, and receive a free "I Love Antibodies" mug.
Provided below are standard protocols that you may find useful for product applications.
If you have used an Abcepta product and would like to share how it has performed, please click on the "Submit Review" button and provide the requested information. Our staff will examine and post your review and contact you if needed.
If you have any additional inquiries please email technical services at tech@abcepta.com.





Foundational characteristics of cancer include proliferation, angiogenesis, migration, evasion of apoptosis, and cellular immortality. Find key markers for these cellular processes and antibodies to detect them.
The SUMOplot™ Analysis Program predicts and scores sumoylation sites in your protein. SUMOylation is a post-translational modification involved in various cellular processes, such as nuclear-cytosolic transport, transcriptional regulation, apoptosis, protein stability, response to stress, and progression through the cell cycle.
The Autophagy Receptor Motif Plotter predicts and scores autophagy receptor binding sites in your protein. Identifying proteins connected to this pathway is critical to understanding the role of autophagy in physiological as well as pathological processes such as development, differentiation, neurodegenerative diseases, stress, infection, and cancer.



