CUX1 Antibody (C-term)
Affinity Purified Rabbit Polyclonal Antibody (Pab)
- SPECIFICATION
- CITATIONS: 1
- PROTOCOLS
- BACKGROUND

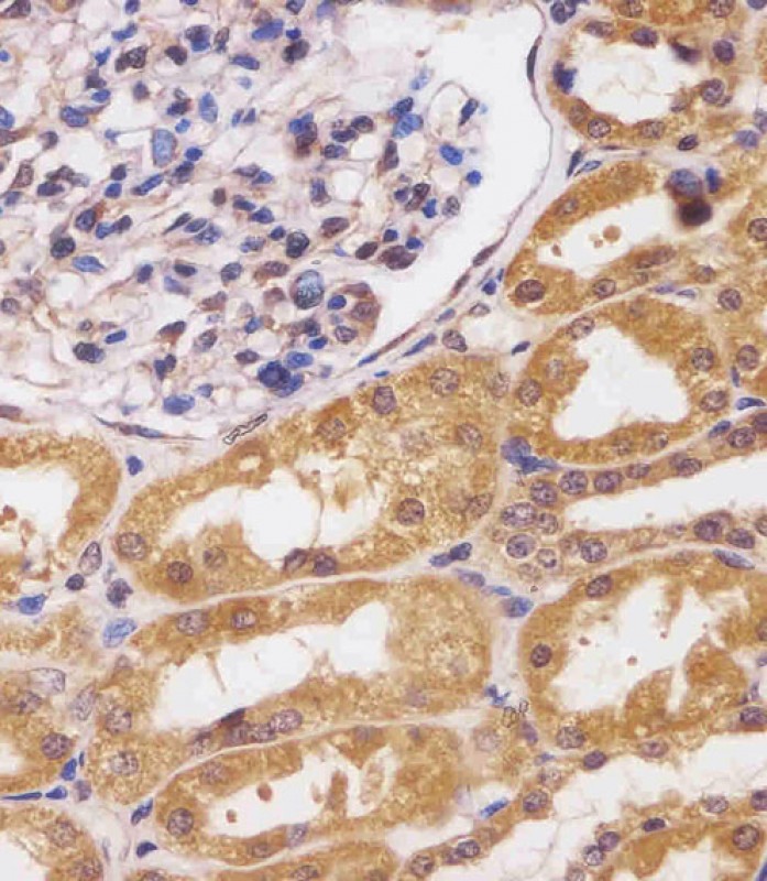
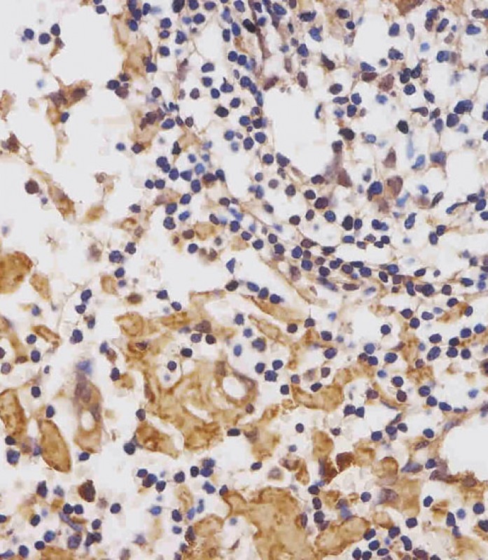
Application
| WB, IHC-P, IF, E |
|---|---|
| Primary Accession | P39880 |
| Other Accession | NP_853530.2 |
| Reactivity | Human |
| Host | Rabbit |
| Clonality | Polyclonal |
| Isotype | Rabbit IgG |
| Calculated MW | 164187 Da |
| Antigen Region | 1347-1374 aa |
| Gene ID | 1523 |
|---|---|
| Other Names | Homeobox protein cut-like 1, CCAAT displacement protein, CDP, Homeobox protein cux-1, CUX1, CUTL1 |
| Target/Specificity | This CUX1 antibody is generated from rabbits immunized with a KLH conjugated synthetic peptide between 1347-1374 amino acids of human CUX1. |
| Dilution | WB~~1:2000 IHC-P~~1:25 IF~~1:25 E~~Use at an assay dependent concentration. |
| Format | Purified polyclonal antibody supplied in PBS with 0.09% (W/V) sodium azide. This antibody is prepared by Saturated Ammonium Sulfate (SAS) precipitation followed by dialysis against PBS. |
| Storage | Maintain refrigerated at 2-8°C for up to 2 weeks. For long term storage store at -20°C in small aliquots to prevent freeze-thaw cycles. |
| Precautions | CUX1 Antibody (C-term) is for research use only and not for use in diagnostic or therapeutic procedures. |
| Name | CUX1 (HGNC:2557) |
|---|---|
| Synonyms | CUTL1 |
| Function | Transcription factor involved in the control of neuronal differentiation in the brain. Regulates dendrite development and branching, and dendritic spine formation in cortical layers II-III. Also involved in the control of synaptogenesis. In addition, it has probably a broad role in mammalian development as a repressor of developmentally regulated gene expression. May act by preventing binding of positively-activing CCAAT factors to promoters. Component of nf-munr repressor; binds to the matrix attachment regions (MARs) (5' and 3') of the immunoglobulin heavy chain enhancer. Represses T-cell receptor (TCR) beta enhancer function by binding to MARbeta, an ATC- rich DNA sequence located upstream of the TCR beta enhancer. Binds to the TH enhancer; may require the basic helix-loop-helix protein TCF4 as a coactivator. |
| Cellular Location | Nucleus. |

Provided below are standard protocols that you may find useful for product applications.
If you have used an Abcepta product and would like to share how it has performed, please click on the "Submit Review" button and provide the requested information. Our staff will examine and post your review and contact you if needed.
If you have any additional inquiries please email technical services at tech@abcepta.com.






Foundational characteristics of cancer include proliferation, angiogenesis, migration, evasion of apoptosis, and cellular immortality. Find key markers for these cellular processes and antibodies to detect them.
The SUMOplot™ Analysis Program predicts and scores sumoylation sites in your protein. SUMOylation is a post-translational modification involved in various cellular processes, such as nuclear-cytosolic transport, transcriptional regulation, apoptosis, protein stability, response to stress, and progression through the cell cycle.
The Autophagy Receptor Motif Plotter predicts and scores autophagy receptor binding sites in your protein. Identifying proteins connected to this pathway is critical to understanding the role of autophagy in physiological as well as pathological processes such as development, differentiation, neurodegenerative diseases, stress, infection, and cancer.






