Anti-Kir2.1 Antibody
Rabbit polyclonal antibody to Kir2.1
- SPECIFICATION
- CITATIONS
- PROTOCOLS
- BACKGROUND

Application
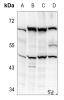
| WB |
|---|---|
| Primary Accession | P63252 |
| Other Accession | P35561 |
| Reactivity | Human, Mouse, Rat |
| Host | Rabbit |
| Clonality | Polyclonal |
| Calculated MW | 48288 Da |
| Gene ID | 3759 |
|---|---|
| Other Names | IRK1; Inward rectifier potassium channel 2; Cardiac inward rectifier potassium channel; Inward rectifier K(+) channel Kir2.1; IRK-1; hIRK1; Potassium channel, inwardly rectifying subfamily J member 2 |
| Target/Specificity | KLH-conjugated synthetic peptide encompassing a sequence within the center region of human Kir2.1. The exact sequence is proprietary. |
| Dilution | WB~~WB (1/500 - 1/1000) |
| Format | Liquid in 0.42% Potassium phosphate, 0.87% Sodium chloride, pH 7.3, 30% glycerol, and 0.09% (W/V) sodium azide. |
| Storage | Store at -20 °C.Stable for 12 months from date of receipt |
| Name | KCNJ2 |
|---|---|
| Synonyms | IRK1 |
| Function | Inward rectifier potassium channels are characterized by a greater tendency to allow potassium to flow into the cell rather than out of it (PubMed:36149965, PubMed:7590287, PubMed:9490857). Their voltage dependence is regulated by the concentration of extracellular potassium; as external potassium is raised, the voltage range of the channel opening shifts to more positive voltages (PubMed:7590287, PubMed:7696590). The inward rectification is mainly due to the blockage of outward current by internal magnesium (PubMed:9490857). Can be blocked by extracellular barium or cesium (PubMed:7590287, PubMed:7696590). Probably participates in establishing action potential waveform and excitability of neuronal and muscle tissues (PubMed:7590287, PubMed:7696590, PubMed:7840300). |
| Cellular Location | Cell membrane; Multi-pass membrane protein Cell membrane, sarcolemma, T-tubule {ECO:0000250|UniProtKB:Q64273} |
| Tissue Location | Heart, brain, placenta, lung, skeletal muscle, and kidney. Diffusely distributed throughout the brain |

Thousands of laboratories across the world have published research that depended on the performance of antibodies from Abcepta to advance their research. Check out links to articles that cite our products in major peer-reviewed journals, organized by research category.
info@abcepta.com, and receive a free "I Love Antibodies" mug.
Provided below are standard protocols that you may find useful for product applications.
Background
KLH-conjugated synthetic peptide encompassing a sequence within the center region of human Kir2.1. The exact sequence is proprietary.
If you have used an Abcepta product and would like to share how it has performed, please click on the "Submit Review" button and provide the requested information. Our staff will examine and post your review and contact you if needed.
If you have any additional inquiries please email technical services at tech@abcepta.com.





Foundational characteristics of cancer include proliferation, angiogenesis, migration, evasion of apoptosis, and cellular immortality. Find key markers for these cellular processes and antibodies to detect them.
The SUMOplot™ Analysis Program predicts and scores sumoylation sites in your protein. SUMOylation is a post-translational modification involved in various cellular processes, such as nuclear-cytosolic transport, transcriptional regulation, apoptosis, protein stability, response to stress, and progression through the cell cycle.
The Autophagy Receptor Motif Plotter predicts and scores autophagy receptor binding sites in your protein. Identifying proteins connected to this pathway is critical to understanding the role of autophagy in physiological as well as pathological processes such as development, differentiation, neurodegenerative diseases, stress, infection, and cancer.


