Anti-HSN1 Antibody
Rabbit polyclonal antibody to HSN1
- SPECIFICATION
- CITATIONS
- PROTOCOLS
- BACKGROUND

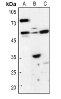
Application
| WB |
|---|---|
| Primary Accession | O15269 |
| Other Accession | O35704 |
| Reactivity | Human, Mouse, Rat, Bovine |
| Host | Rabbit |
| Clonality | Polyclonal |
| Calculated MW | 52744 Da |
| Gene ID | 10558 |
|---|---|
| Other Names | LCB1; Serine palmitoyltransferase 1; Long chain base biosynthesis protein 1; LCB 1; Serine-palmitoyl-CoA transferase 1; SPT 1; SPT1 |
| Target/Specificity | KLH-conjugated synthetic peptide encompassing a sequence within the C-term region of human HSN1. The exact sequence is proprietary. |
| Dilution | WB~~WB (1/500 - 1/1000) |
| Format | Liquid in 0.42% Potassium phosphate, 0.87% Sodium chloride, pH 7.3, 30% glycerol, and 0.09% (W/V) sodium azide. |
| Storage | Store at -20 °C.Stable for 12 months from date of receipt |
| Name | SPTLC1 |
|---|---|
| Synonyms | LCB1 |
| Function | Component of the serine palmitoyltransferase multisubunit enzyme (SPT) that catalyzes the initial and rate-limiting step in sphingolipid biosynthesis by condensing L-serine and activated acyl-CoA (most commonly palmitoyl-CoA) to form long-chain bases. The SPT complex is also composed of SPTLC2 or SPTLC3 and SPTSSA or SPTSSB. Within this complex, the heterodimer with SPTLC2 or SPTLC3 forms the catalytic core (PubMed:19416851, PubMed:33558762, PubMed:36170811). The composition of the serine palmitoyltransferase (SPT) complex determines the substrate preference (PubMed:19416851, PubMed:33558762). The SPTLC1-SPTLC2-SPTSSA complex shows a strong preference for C16-CoA substrate, while the SPTLC1-SPTLC3-SPTSSA isozyme uses both C14-CoA and C16-CoA as substrates, with a slight preference for C14-CoA (PubMed:19416851, PubMed:19648650). The SPTLC1-SPTLC2-SPTSSB complex shows a strong preference for C18-CoA substrate, while the SPTLC1-SPTLC3-SPTSSB isozyme displays an ability to use a broader range of acyl-CoAs, without apparent preference (PubMed:19416851, PubMed:19648650, PubMed:33558761, PubMed:33558762). Required for adipocyte cell viability and metabolic homeostasis (By similarity). |
| Cellular Location | Endoplasmic reticulum membrane; Single-pass membrane protein {ECO:0000250|UniProtKB:O35704} |
| Tissue Location | Widely expressed. Not detected in small intestine. |

Thousands of laboratories across the world have published research that depended on the performance of antibodies from Abcepta to advance their research. Check out links to articles that cite our products in major peer-reviewed journals, organized by research category.
info@abcepta.com, and receive a free "I Love Antibodies" mug.
Provided below are standard protocols that you may find useful for product applications.
Background
KLH-conjugated synthetic peptide encompassing a sequence within the C-term region of human HSN1. The exact sequence is proprietary.
If you have used an Abcepta product and would like to share how it has performed, please click on the "Submit Review" button and provide the requested information. Our staff will examine and post your review and contact you if needed.
If you have any additional inquiries please email technical services at tech@abcepta.com.





Foundational characteristics of cancer include proliferation, angiogenesis, migration, evasion of apoptosis, and cellular immortality. Find key markers for these cellular processes and antibodies to detect them.
The SUMOplot™ Analysis Program predicts and scores sumoylation sites in your protein. SUMOylation is a post-translational modification involved in various cellular processes, such as nuclear-cytosolic transport, transcriptional regulation, apoptosis, protein stability, response to stress, and progression through the cell cycle.
The Autophagy Receptor Motif Plotter predicts and scores autophagy receptor binding sites in your protein. Identifying proteins connected to this pathway is critical to understanding the role of autophagy in physiological as well as pathological processes such as development, differentiation, neurodegenerative diseases, stress, infection, and cancer.


