JAM-B Polyclonal Antibody
- SPECIFICATION
- CITATIONS
- PROTOCOLS
- BACKGROUND

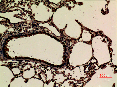
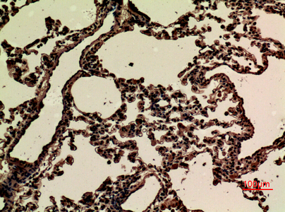
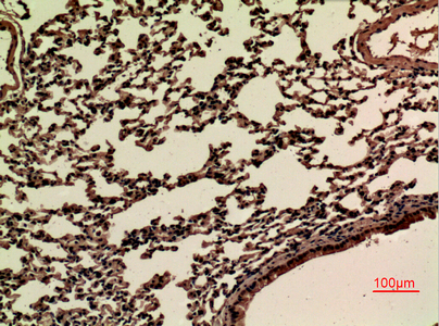
Application
| WB, IHC-P |
|---|---|
| Primary Accession | P57087 |
| Reactivity | Human, Mouse, Rat |
| Host | Rabbit |
| Clonality | Polyclonal |
| Calculated MW | 33207 Da |
| Gene ID | 58494 |
|---|---|
| Other Names | JAM2; C21orf43; VEJAM; Junctional adhesion molecule B; JAM-B; Junctional adhesion molecule 2; JAM-2; Vascular endothelial junction-associated molecule; VE-JAM; CD322 |
| Dilution | WB~~Western Blot: 1/500 - 1/2000. IHC-p: 1:100-300 ELISA: 1/20000. Not yet tested in other applications. IHC-P~~N/A |
| Format | Liquid in PBS containing 50% glycerol, 0.5% BSA and 0.09% (W/V) sodium azide. |
| Storage Conditions | -20℃ |
| Name | JAM2 (HGNC:14686) |
|---|---|
| Function | Junctional adhesion protein that mediates heterotypic cell- cell interactions with its cognate receptor JAM3 to regulate different cellular processes (PubMed:11590146, PubMed:11823489, PubMed:24357068). Plays a role in homing and mobilization of hematopoietic stem and progenitor cells within the bone marrow (PubMed:24357068). At the surface of bone marrow stromal cells, it contributes to the retention of the hematopoietic stem and progenitor cells expressing JAM3 (PubMed:11590146, PubMed:24357068). Plays a central role in leukocytes extravasation by facilitating not only transmigration but also tethering and rolling of leukocytes along the endothelium (PubMed:12239159). Tethering and rolling of leukocytes are dependent on the binding by JAM2 of the integrin alpha-4/beta-1 (PubMed:12070135). Plays a role in spermatogenesis where JAM2 and JAM3, which are respectively expressed by Sertoli and germ cells, mediate an interaction between both cell types and play an essential role in the anchorage of germ cells onto Sertoli cells and the assembly of cell polarity complexes during spermatid differentiation (By similarity). Also functions as an inhibitory somatodendritic cue that prevents the myelination of non-axonal parts of neurons (By similarity). During myogenesis, it is involved in myocyte fusion (By similarity). May also play a role in angiogenesis (By similarity). |
| Cellular Location | Cell membrane; Single-pass type I membrane protein. Cell junction. Cell junction, tight junction {ECO:0000250|UniProtKB:Q9JI59}. Note=Localized at tight junctions of both epithelial and endothelial cells (By similarity). Specifically localized within the somatodendritic compartment of neurons and excluded from the axon (By similarity) {ECO:0000250|UniProtKB:Q9JI59} |
| Tissue Location | Highly expressed in heart, placenta, lung, foreskin and lymph node (PubMed:10779521, PubMed:10945976). Prominently expressed on high endothelial venules and also present on the endothelia of other vessels (at protein level) (PubMed:10779521, PubMed:10945976). Also expressed in the brain in the caudate nuclei (PubMed:31851307). |

Thousands of laboratories across the world have published research that depended on the performance of antibodies from Abcepta to advance their research. Check out links to articles that cite our products in major peer-reviewed journals, organized by research category.
info@abcepta.com, and receive a free "I Love Antibodies" mug.
Provided below are standard protocols that you may find useful for product applications.
Background
May play a role in the processes of lymphocyte homing to secondary lymphoid organs.
If you have used an Abcepta product and would like to share how it has performed, please click on the "Submit Review" button and provide the requested information. Our staff will examine and post your review and contact you if needed.
If you have any additional inquiries please email technical services at tech@abcepta.com.





Foundational characteristics of cancer include proliferation, angiogenesis, migration, evasion of apoptosis, and cellular immortality. Find key markers for these cellular processes and antibodies to detect them.
The SUMOplot™ Analysis Program predicts and scores sumoylation sites in your protein. SUMOylation is a post-translational modification involved in various cellular processes, such as nuclear-cytosolic transport, transcriptional regulation, apoptosis, protein stability, response to stress, and progression through the cell cycle.
The Autophagy Receptor Motif Plotter predicts and scores autophagy receptor binding sites in your protein. Identifying proteins connected to this pathway is critical to understanding the role of autophagy in physiological as well as pathological processes such as development, differentiation, neurodegenerative diseases, stress, infection, and cancer.

.jpg)

.jpg)


