ANG I Polyclonal Antibody
- SPECIFICATION
- CITATIONS
- PROTOCOLS
- BACKGROUND

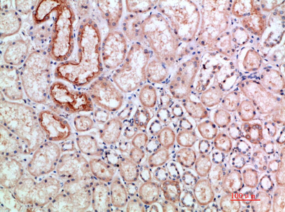
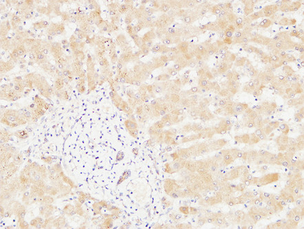
Application
| IHC-P |
|---|---|
| Primary Accession | P03950 |
| Reactivity | Human |
| Host | Rabbit |
| Clonality | Polyclonal |
| Calculated MW | 16550 Da |
| Gene ID | 283 |
|---|---|
| Other Names | Angiogenin (EC 3.1.27.-) (Ribonuclease 5) (RNase 5) |
| Dilution | IHC-P~~N/A |
| Format | Liquid in PBS containing 50% glycerol, 0.5% BSA and 0.09% (W/V) sodium azide. |
| Storage Conditions | -20℃ |
| Name | ANG {ECO:0000303|PubMed:11919285, ECO:0000312|HGNC:HGNC:483} |
|---|---|
| Function | Secreted ribonuclease that can either promote or restrict cell proliferation of target cells, depending on the context (PubMed:12051708, PubMed:1400510, PubMed:19332886, PubMed:20129916, PubMed:21855800, PubMed:23047679, PubMed:23843625, PubMed:2424496, PubMed:2459697, PubMed:2730651, PubMed:27518564, PubMed:28176817, PubMed:29100074, PubMed:29748193, PubMed:3122207, PubMed:32510170, PubMed:38718836, PubMed:8159680, PubMed:8570639, PubMed:8622921, PubMed:9578571). Endocytosed in target cells via its receptor PLXNB2 and translocates to the cytoplasm or nucleus (PubMed:29100074, PubMed:32510170). Under stress conditions, localizes to the cytoplasm and promotes the assembly of stress granules (SGs): specifically cleaves a subset of tRNAs within anticodon loops to produce tRNA- derived stress-induced fragments (tiRNAs), resulting in translation repression and inhibition of cell proliferation (PubMed:1400510, PubMed:19332886, PubMed:20129916, PubMed:21855800, PubMed:23047679, PubMed:27518564, PubMed:29100074, PubMed:29748193, PubMed:32510170, PubMed:38718836). tiRNas also prevent formation of apoptosome, thereby promoting cell survival (By similarity). Preferentially cleaves RNAs between a pyrimidine and an adenosine residue, suggesting that it cleaves the anticodon loop of tRNA(Ala) (32-UUAGCAU-38) after positions 33 and 36 (PubMed:3289612, PubMed:38718836). Cleaves a subset of tRNAs, including tRNA(Ala), tRNA(Glu), tRNA(Gly), tRNA(Lys), tRNA(Val), tRNA(His), tRNA(Asp) and tRNA(Sec) (PubMed:31582561). Under growth conditions and in differentiated cells, translocates to the nucleus and stimulates ribosomal RNA (rRNA) transcription, including that containing the initiation site sequences of 45S rRNA, thereby promoting cell growth and proliferation (PubMed:12051708, PubMed:15735021, PubMed:27518564, PubMed:29100074, PubMed:8127865). Angiogenin induces vascularization of normal and malignant tissues via its ability to promote rRNA transcription (PubMed:19354288, PubMed:4074709, PubMed:8448182). Involved in hematopoietic stem and progenitor cell (HSPC) growth and survival by promoting rRNA transcription in growth conditions and inhibiting translation in response to stress, respectively (PubMed:27518564). Mediates the crosstalk between myeloid and intestinal epithelial cells to protect the intestinal epithelial barrier integrity: secreted by myeloid cells and promotes intestinal epithelial cells proliferation and survival (PubMed:32510170). Also mediates osteoclast-endothelial cell crosstalk in growing bone: produced by osteoclasts and protects the neighboring vascular cells against senescence by promoting rRNA transcription (By similarity). |
| Cellular Location | Secreted. Nucleus. Nucleus, nucleolus. Cytoplasm, Stress granule. Note=The secreted protein is rapidly endocytosed by target cells following interaction with PLXNB2 receptor and translocated to the cytoplasm and nucleus (PubMed:29100074). In the nucleus, accumulates in the nucleolus and binds to DNA (PubMed:12051708). |
| Tissue Location | Expressed predominantly in the liver (PubMed:2440105). Also detected in endothelial cells and spinal cord neurons (PubMed:17886298, PubMed:2440105) |

Thousands of laboratories across the world have published research that depended on the performance of antibodies from Abcepta to advance their research. Check out links to articles that cite our products in major peer-reviewed journals, organized by research category.
info@abcepta.com, and receive a free "I Love Antibodies" mug.
Provided below are standard protocols that you may find useful for product applications.
Background
Binds to actin on the surface of endothelial cells; once bound, angiogenin is endocytosed and translocated to the nucleus. Stimulates ribosomal RNA synthesis including that containing the initiation site sequences of 45S rRNA. Cleaves tRNA within anticodon loops to produce tRNA-derived stress-induced fragments (tiRNAs) which inhibit protein synthesis and triggers the assembly of stress granules (SGs). Angiogenin induces vascularization of normal and malignant tissues. Angiogenic activity is regulated by interaction with RNH1 in vivo.
If you have used an Abcepta product and would like to share how it has performed, please click on the "Submit Review" button and provide the requested information. Our staff will examine and post your review and contact you if needed.
If you have any additional inquiries please email technical services at tech@abcepta.com.





Foundational characteristics of cancer include proliferation, angiogenesis, migration, evasion of apoptosis, and cellular immortality. Find key markers for these cellular processes and antibodies to detect them.
The SUMOplot™ Analysis Program predicts and scores sumoylation sites in your protein. SUMOylation is a post-translational modification involved in various cellular processes, such as nuclear-cytosolic transport, transcriptional regulation, apoptosis, protein stability, response to stress, and progression through the cell cycle.
The Autophagy Receptor Motif Plotter predicts and scores autophagy receptor binding sites in your protein. Identifying proteins connected to this pathway is critical to understanding the role of autophagy in physiological as well as pathological processes such as development, differentiation, neurodegenerative diseases, stress, infection, and cancer.








