ZIP10 Antibody
- SPECIFICATION
- CITATIONS
- PROTOCOLS
- BACKGROUND

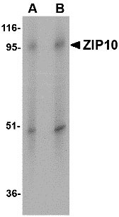
Application
| WB, IHC-P, E |
|---|---|
| Primary Accession | Q9ULF5 |
| Other Accession | EAW70116, 149046180 |
| Reactivity | Human, Mouse, Rat |
| Host | Rabbit |
| Clonality | Polyclonal |
| Isotype | IgG |
| Calculated MW | 94132 Da |
| Application Notes | ZIP10 antibody can be used for detection of ZIP10 by Western blot at 1 - 2 µg/mL. Antibody can also be used for immunohistochemistry starting at 2.5 µg/mL. |
| Gene ID | 363229 |
|---|---|
| Target/Specificity | Slc39a10; This antibody will not cross-react with the zinc transporter ZIP11. |
| Reconstitution & Storage | ZIP10 antibody can be stored at 4℃ for three months and -20℃, stable for up to one year. As with all antibodies care should be taken to avoid repeated freeze thaw cycles. Antibodies should not be exposed to prolonged high temperatures. |
| Precautions | ZIP10 Antibody is for research use only and not for use in diagnostic or therapeutic procedures. |
| Name | SLC39A10 (HGNC:20861) |
|---|---|
| Synonyms | KIAA1265, ZIP10 |
| Function | Zinc-influx transporter (PubMed:17359283, PubMed:27274087, PubMed:30520657). When associated with SLC39A6, the heterodimer formed by SLC39A10 and SLC39A6 mediates cellular zinc uptake to trigger cells to undergo epithelial-to-mesenchymal transition (EMT) (PubMed:23186163). SLC39A10-SLC39A6 heterodimers play also an essentiel role in initiating mitosis by importing zinc into cells to initiate a pathway resulting in the onset of mitosis (PubMed:32797246). Plays an important for both mature B-cell maintenance and humoral immune responses (By similarity). When associated with SLC39A10, the heterodimer controls NCAM1 phosphorylation and integration into focal adhesion complexes during EMT (By similarity). |
| Cellular Location | Cell membrane; Multi-pass membrane protein. Apical cell membrane; Multi-pass membrane protein. Note=Expressed at the apical membranes of proximal tubules in the kidney. |

Thousands of laboratories across the world have published research that depended on the performance of antibodies from Abcepta to advance their research. Check out links to articles that cite our products in major peer-reviewed journals, organized by research category.
info@abcepta.com, and receive a free "I Love Antibodies" mug.
Provided below are standard protocols that you may find useful for product applications.
Background
ZIP10 Antibody: ZIP10, also known as Slc39A10, is a widely expressed zinc transporter with nine transmembrane domains. Zinc is an essential ion for cells and plays significant roles in the growth, development, and differentiation. ZIP10 mRNA was found to be significantly decreased in the intestines and kidneys of hypothyroid rats and increased in those of hyperthyroid rats, indicating that ZIP10 is positively regulated by thyroid hormones. ZIP10 mRNA was also found to be upregulated in invasive and metastatic breast cancer and cell lines, suggesting that ZIP10 could serve as a possible marker for the metastatic phenotype and possibly a target for novel treatment strategies. At least three isoforms of ZIP10 are known to exist.
References
Kaler P and Prasad R. Molecular cloning and functional characterization of novel transporter rZip10 (Slc39a10) involved in zinc uptake across renal brush-border membrane. Am. J. Renal Physiol.2007; 292:F217-29.
Taylor KM and Nicohlson RI. The LZT proteins; the LIV-1 subfamily of zinc transporters. Biochim. Biophys. Acta.2003; 1611:16-30.
Pawan K, Neeraj S, Sandeep K, et al. Upregulation of Slc39a10 gene expression in response to thyroid hormones in intestine and kidney. Biochim. Biophys. Acta.2007; 1769:117-23.
Kagara N, Tanaka N, Noguchi S, et al. Zinc and its transporter ZIP10 are involved in invasive behavior of breast cancer cells. Cancer Sci.2007; 98:692-7.
If you have used an Abcepta product and would like to share how it has performed, please click on the "Submit Review" button and provide the requested information. Our staff will examine and post your review and contact you if needed.
If you have any additional inquiries please email technical services at tech@abcepta.com.





Foundational characteristics of cancer include proliferation, angiogenesis, migration, evasion of apoptosis, and cellular immortality. Find key markers for these cellular processes and antibodies to detect them.
The SUMOplot™ Analysis Program predicts and scores sumoylation sites in your protein. SUMOylation is a post-translational modification involved in various cellular processes, such as nuclear-cytosolic transport, transcriptional regulation, apoptosis, protein stability, response to stress, and progression through the cell cycle.
The Autophagy Receptor Motif Plotter predicts and scores autophagy receptor binding sites in your protein. Identifying proteins connected to this pathway is critical to understanding the role of autophagy in physiological as well as pathological processes such as development, differentiation, neurodegenerative diseases, stress, infection, and cancer.



