RSL1D1 Rabbit pAb
RSL1D1 Rabbit pAb
- SPECIFICATION
- CITATIONS
- PROTOCOLS
- BACKGROUND
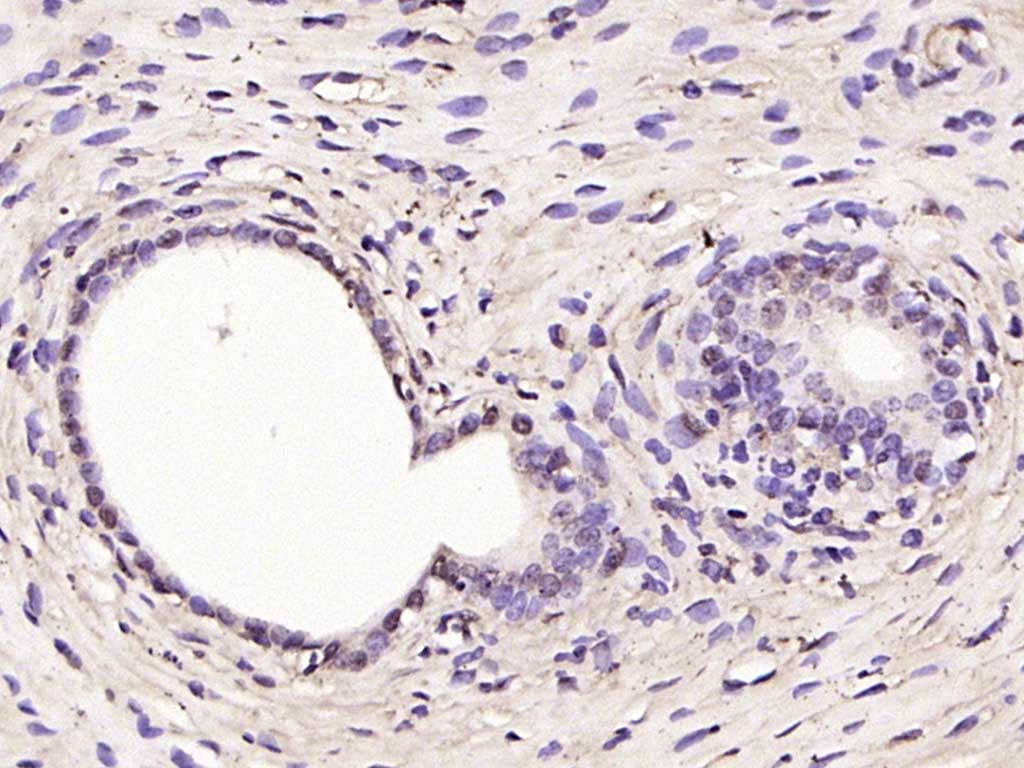
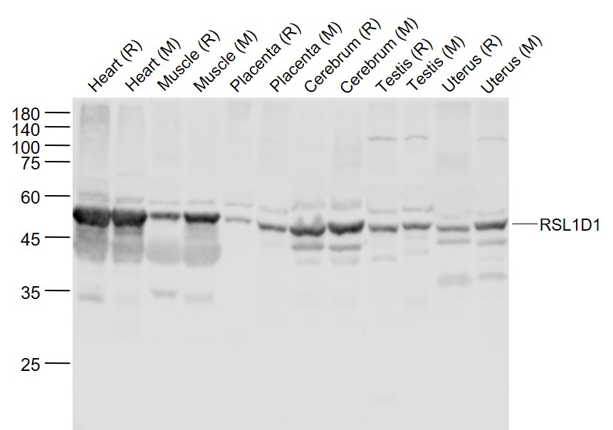
Application
| WB, IHC-P, IHC-F, IF |
|---|---|
| Reactivity | Mouse |
| Host | Rabbit |
| Clonality | Polyclonal |
| Calculated MW | 55 KDa |
| Physical State | Liquid |
| Immunogen | KLH conjugated synthetic peptide derived from mouse RSL1D1 |
| Epitope Specificity | 311-410/452 |
| Isotype | IgG |
| Purity | affinity purified by Protein A |
| Buffer | 0.01M TBS (pH7.4) with 1% BSA, 0.02% Proclin300 and 50% Glycerol. |
| SUBCELLULAR LOCATION | Nucleus |
| SIMILARITY | Belongs to the ribosomal protein L1P family. Highly divergent. |
| Important Note | This product as supplied is intended for research use only, not for use in human, therapeutic or diagnostic applications. |
| Background Descriptions | RSL1D1, also known as CATX-11, PBK1, L12 or CSIG, is a 490 amino acid nuclear protein that belongs to the ribosomal protein L1P family. Expressed in placenta, RSL1D1 contains many phosphorylated amino acid residues and is encoded by a gene that maps to human chromosome 16p13.13. Chromosome 16 encodes over 900 genes in approximately 90 million base pairs, makes up nearly 3% of human cellular DNA and is associated with a variety of genetic disorders. The GAN gene is located on chromosome 16 and, with mutation, may lead to giant axonal neuropathy, a nervous system disorder characterized by increasing malfunction with growth. The rare disorder Rubinstein-Taybi syndrome is also associated with chromosome 16, though through the CREBBP gene which encodes a critical CREB binding protein. Signs of Rubinstein-Taybi include mental retardation and predisposition to tumor growth and white blood cell neoplasias. |
| Target/Specificity | Placenta |
|---|---|
| Dilution | WB=1:500-2000,IHC-P=1:400-800,IHC-F=1:400-800,IF=1:100-500 |
| Storage | Store at -20 ℃ for one year. Avoid repeated freeze/thaw cycles. When reconstituted in sterile pH 7.4 0.01M PBS or diluent of antibody the antibody is stable for at least two weeks at 2-4 ℃. |

Thousands of laboratories across the world have published research that depended on the performance of antibodies from Abcepta to advance their research. Check out links to articles that cite our products in major peer-reviewed journals, organized by research category.
info@abcepta.com, and receive a free "I Love Antibodies" mug.
Provided below are standard protocols that you may find useful for product applications.
Background
This product as supplied is intended for research use only, not for use in human, therapeutic or diagnostic applications.
If you have used an Abcepta product and would like to share how it has performed, please click on the "Submit Review" button and provide the requested information. Our staff will examine and post your review and contact you if needed.
If you have any additional inquiries please email technical services at tech@abcepta.com.





Foundational characteristics of cancer include proliferation, angiogenesis, migration, evasion of apoptosis, and cellular immortality. Find key markers for these cellular processes and antibodies to detect them.
The SUMOplot™ Analysis Program predicts and scores sumoylation sites in your protein. SUMOylation is a post-translational modification involved in various cellular processes, such as nuclear-cytosolic transport, transcriptional regulation, apoptosis, protein stability, response to stress, and progression through the cell cycle.
The Autophagy Receptor Motif Plotter predicts and scores autophagy receptor binding sites in your protein. Identifying proteins connected to this pathway is critical to understanding the role of autophagy in physiological as well as pathological processes such as development, differentiation, neurodegenerative diseases, stress, infection, and cancer.




