B4GALT6 Polyclonal Antibody
Purified Rabbit Polyclonal Antibody (Pab)
- SPECIFICATION
- CITATIONS
- PROTOCOLS
- BACKGROUND

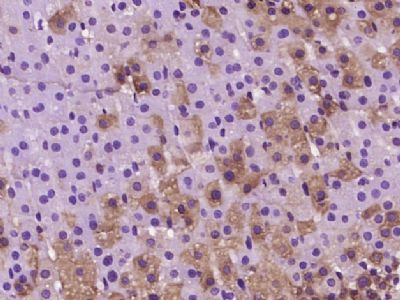
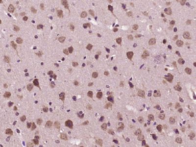
Application
| WB, IHC-P, IHC-F, IF, ICC |
|---|---|
| Primary Accession | Q9UBX8 |
| Reactivity | Rat, Pig, Dog, Bovine |
| Host | Rabbit |
| Clonality | Polyclonal |
| Calculated MW | 45 KDa |
| Physical State | Liquid |
| Immunogen | KLH conjugated synthetic peptide derived from human B4GALT6 |
| Isotype | IgG |
| Purity | affinity purified by Protein A |
| Buffer | 0.01M TBS (pH7.4) with 1% BSA, 0.02% Proclin300 and 50% Glycerol. |
| SUBCELLULAR LOCATION | Golgi apparatus |
| SIMILARITY | Belongs to the glycosyltransferase 7 family. |
| Important Note | This product as supplied is intended for research use only, not for use in human, therapeutic or diagnostic applications. |
| Background Descriptions | This gene is one of seven beta-1,4-galactosyltransferase (beta4GalT) genes. They encode type II membrane-bound glycoproteins that appear to have exclusive specificity for the donor substrate UDP-galactose; all transfer galactose in a beta1,4 linkage to similar acceptor sugars: GlcNAc, Glc, and Xyl. Each beta4GalT has a distinct function in the biosynthesis of different glycoconjugates and saccharide structures. As type II membrane proteins, they have an N-terminal hydrophobic signal sequence that directs the protein to the Golgi apparatus and which then remains uncleaved to function as a transmembrane anchor. By sequence similarity, the beta4GalTs form four groups: beta4GalT1 and beta4GalT2, beta4GalT3 and beta4GalT4, beta4GalT5 and beta4GalT6, and beta4GalT7. The enzyme encoded by this gene is a lactosylceramide synthase important for glycolipid biosynthesis. [provided by RefSeq, Jul 2008] |
| Gene ID | 9331 |
|---|---|
| Other Names | Beta-1, 4-galactosyltransferase 6, Beta-1, 4-GalTase 6, Beta4Gal-T6, b4Gal-T6, 2.4.1.-, Glucosylceramide beta-1, 4-galactosyltransferase, 2.4.1.274, Lactosylceramide synthase, LacCer synthase, UDP-Gal:beta-GlcNAc beta-1, 4-galactosyltransferase 6, UDP-Gal:glucosylceramide beta-1, 4-galactosyltransferase, UDP-galactose:beta-N-acetylglucosamine beta-1, 4-galactosyltransferase 6, B4GALT6 (HGNC:929) |
| Target/Specificity | High expression in brain and adrenal gland, lower in liver, lung, colon and peripheral white blood cells. |
| Dilution | WB=1:500-2000,IHC-P=1:100-500,IHC-F=1:100-500,ICC=1:100-500,IF=1:100-500 |
| Storage | Store at -20 ℃ for one year. Avoid repeated freeze/thaw cycles. When reconstituted in sterile pH 7.4 0.01M PBS or diluent of antibody the antibody is stable for at least two weeks at 2-4 ℃. |
| Name | B4GALT6 (HGNC:929) |
|---|---|
| Function | Catalyzes the synthesis of lactosylceramide (LacCer) via the transfer of galactose from UDP-galactose to glucosylceramide (GlcCer) (PubMed:1551920, PubMed:24498430, PubMed:3099851). LacCer is the starting point in the biosynthesis of all gangliosides (membrane-bound glycosphingolipids) which play pivotal roles in the CNS including neuronal maturation and axonal and myelin formation (By similarity). |
| Cellular Location | Golgi apparatus, Golgi stack membrane {ECO:0000250|UniProtKB:P15291}; Single-pass type II membrane protein Note=Trans cisternae of Golgi stack. {ECO:0000250|UniProtKB:P15291} |
| Tissue Location | High expression in brain and adrenal gland, lower in liver, lung, colon and peripheral white blood cells |

Thousands of laboratories across the world have published research that depended on the performance of antibodies from Abcepta to advance their research. Check out links to articles that cite our products in major peer-reviewed journals, organized by research category.
info@abcepta.com, and receive a free "I Love Antibodies" mug.
Provided below are standard protocols that you may find useful for product applications.
If you have used an Abcepta product and would like to share how it has performed, please click on the "Submit Review" button and provide the requested information. Our staff will examine and post your review and contact you if needed.
If you have any additional inquiries please email technical services at tech@abcepta.com.





Foundational characteristics of cancer include proliferation, angiogenesis, migration, evasion of apoptosis, and cellular immortality. Find key markers for these cellular processes and antibodies to detect them.
The SUMOplot™ Analysis Program predicts and scores sumoylation sites in your protein. SUMOylation is a post-translational modification involved in various cellular processes, such as nuclear-cytosolic transport, transcriptional regulation, apoptosis, protein stability, response to stress, and progression through the cell cycle.
The Autophagy Receptor Motif Plotter predicts and scores autophagy receptor binding sites in your protein. Identifying proteins connected to this pathway is critical to understanding the role of autophagy in physiological as well as pathological processes such as development, differentiation, neurodegenerative diseases, stress, infection, and cancer.



